Generic selectors
Exact matches only
Search in title
Search in content
Post Type Selectors

Caso clínico

Blanqueamiento y corona en 11

Dr. Sergio G. Kohen
Pre
Pre

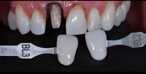
Toma de color y remoción de resina antigua sobre el 11.

Primer paso: Blanqueamiento profesional con peróxido de Hidrogeno al  35 %

Segundo paso: Blanqueamiento ambulatorio con peróxido de Carbamida al 11, 16 y 22 %

Tercer  paso:  Poste y corona de Disilicato de Litio en 11 

Post Blanqueamiento y toma del color para corona de la pieza 11

Digital con el scanner 3 shape
Por comparación con guía de colores

Corona en disilicato de litio  en la pieza 11

Corona en disilicato de litio  en la pieza 11

Antes del tratamiento
Post tratamiento final